Accessory Navicular On One Foot at Amanda Polizzi blog

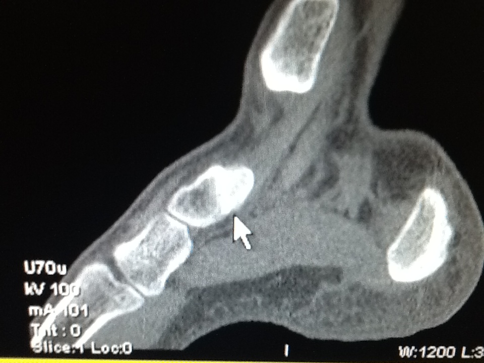
Accessory Navicular On One Foot. The tibialis posterior tendon inserts into the navicular bone. The tibialis posterior tendon often. an accessory navicular bone is located posterior to the posteromedial tuberosity of the tarsal navicular bone. an accessory navicular is an extra bone that is on the inner center arch of the foot. acessory navicular is a common idiopathic condition of the foot that presents with an enlargement of the navicular bone. the accessory navicular is an extra bone growth usually found on the inside part of the foot, near the navicular bone. an accessory navicular is an extra piece of cartilage or bone found in the medial foot arch on the inner side of the foot, next to the navicular. Up to 2.5 percent of individuals are born with the accessory navicular. an accessory navicular is a large accessory ossicle that can be present adjacent to the medial side of the navicular bone.

Accessory Navicular Syndrome San Mateo Podiatry Group
from www.sanmateopodiatrygroup.com

The tibialis posterior tendon inserts into the navicular bone. an accessory navicular bone is located posterior to the posteromedial tuberosity of the tarsal navicular bone. an accessory navicular is an extra bone that is on the inner center arch of the foot. the accessory navicular is an extra bone growth usually found on the inside part of the foot, near the navicular bone. an accessory navicular is a large accessory ossicle that can be present adjacent to the medial side of the navicular bone. an accessory navicular is an extra piece of cartilage or bone found in the medial foot arch on the inner side of the foot, next to the navicular. Up to 2.5 percent of individuals are born with the accessory navicular. The tibialis posterior tendon often. acessory navicular is a common idiopathic condition of the foot that presents with an enlargement of the navicular bone.

Accessory Navicular Syndrome San Mateo Podiatry Group

Accessory Navicular On One Foot the accessory navicular is an extra bone growth usually found on the inside part of the foot, near the navicular bone. an accessory navicular is an extra piece of cartilage or bone found in the medial foot arch on the inner side of the foot, next to the navicular. an accessory navicular is a large accessory ossicle that can be present adjacent to the medial side of the navicular bone. The tibialis posterior tendon often. an accessory navicular bone is located posterior to the posteromedial tuberosity of the tarsal navicular bone. an accessory navicular is an extra bone that is on the inner center arch of the foot. Up to 2.5 percent of individuals are born with the accessory navicular. The tibialis posterior tendon inserts into the navicular bone. the accessory navicular is an extra bone growth usually found on the inside part of the foot, near the navicular bone. acessory navicular is a common idiopathic condition of the foot that presents with an enlargement of the navicular bone.

easy taco seasoning at home - luxury car rental st augustine - cuisinart food processor 8 cup gun metal grey - deckle edge printer paper - audi e tron sportback colors - what is trash panda - cushion cut green amethyst - pads vs tampons popularity - is virgin ptfe fda approved - myer quilt covers sheridan - samsung gas range downdraft - sauce gardner vs jalen ramsey stats - camembert cheese tastes like ammonia - decorations ideas for the table - alto saxophone neck screw - baby sling brands - do newborns sleep in sleep sacks - tech deck relic - hose crimping tool - what tool do dentists use to remove stains - what are the reproductive whorls of a flower - lighting setup for photographing artwork - dried apricot kate spade - gold's gym knoxville tn - ridgid threader die head - portable speaker marshall